在线留言
收到您的留言,我们会尽快安排时间与您联系。

| 序号 | 产品编号 | 服务内容 | 输入 | 交付 | 交付周期 |
|---|---|---|---|---|---|
| 1 | 动物药效 | 同源移植瘤模型 |
|
|
4-6 weeks 6-10weeks(cus-tomized) |
| 2 | 动物药效 | 异种移植瘤模型 |
|
|
4-6 weeks 6-10weeks(cus-tomized) |
| 3 | 动物药效 | PBMC人源化小鼠 移植瘤模型 |
|
|
4-6 weeks 6-10weeks(cus-tomized) |
| 4 | 动物药效 | 转基因小鼠模型 |
|
|
4-6 weeks 6-10weeks(cus-tomized) |
| 5 | 动物药理检测 | 流式检测 |
|
流式检测报告 | One week |
| 6 | 动物药理检测 | 细胞因子检测 |
|
细胞因子检测报告 | One week |
| 7 | 动物药理检测 | 血液学检测 |
|
血液学检测报告 | One week |
| 8 | 动物药理检测 | 病理学检测 |
|
|
2-3 weeks 4-5 weeks(cus-tomized) |
| 细胞系 | 组织 | 疾病 | 小鼠品系 | 可用的模型 |
|---|---|---|---|---|
| MC38 | 肠道 | 结直肠癌 | C57BL/6 | 皮下瘤 |
| CT-26 | 大肠 | 结直肠癌 | BALB/C | 皮下瘤 |
| 4T1 | 脂肪垫 | 乳腺癌 | BALB/C | 皮下瘤 原位瘤 |
| EL4 | T淋巴细胞 | 淋巴瘤 | C57BL/6 | 皮下瘤 |
| E0771 | 脂肪垫 | 乳腺癌 | C57BL/6 | 皮下瘤 |
| LLC | 肺 | 肺癌 | C57BL/6 | 皮下瘤 |
| B16F10 | 皮肤 | 黑色素瘤 | C57BL/6 | 皮下瘤 转移瘤 |
| ROR1-B16F10 | 皮肤 | 黑色素瘤 | C57BL/6 | 皮下瘤 |
| Pan02 | 胰腺 | 腺癌 | C57BL/6 | 皮下瘤 |










| 细胞系 | 组织 | 疾病类型 | 小鼠品系 | 可用模型 |
|---|---|---|---|---|
| HT-29 | 肠道 | 结直肠癌 | Nude小鼠 | 皮下瘤 |
| NCI-N87 | 胃 | 胃癌 | Nude小鼠 | 皮下瘤 |
| NCI-H1975 | 肺 | 非小细胞肺癌 | Nude小鼠 | 皮下瘤 |
| JIMT-1 | 乳腺 | 乳腺癌 | Nude小鼠 | 皮下瘤 |
| HCT116 | 肠道 | 结直肠癌 | nude和NSG小鼠 | 皮下瘤 |
| Colo205 | 肠道 | 结直肠腺癌 | Nude小鼠 | 皮下瘤 |
| NCI-H1581 | 肺 | 非小细胞肺癌 | Nude小鼠 | 皮下瘤 |
| Hep-2 | 咽喉 | 喉表皮样癌 | Nude小鼠 | 皮下瘤 |
| Detroit 562 | 咽喉 | 咽头癌胸水转移 | NKG小鼠 | 皮下瘤 |
| SW48 | 肠道 | 结直肠腺癌 | NOD SCID小鼠 | 皮下瘤 |
| PC-3 | 前列腺 | 前列腺癌 | Nude小鼠 | 皮下瘤 |
| 22RV1 | 前列腺 | 前列腺癌 | Nude小鼠 | 皮下瘤 |
| SK-OV-3 | 卵巢 | 卵巢癌 | Nude小鼠 | 皮下瘤 |
| U-87 MG | 脑部 | 脑星型胶质细胞瘤 | NOD SCID小鼠 | 皮下瘤 原位瘤 |
| A375 | 皮肤 | 恶性黑色素瘤 | NSG小鼠 | 皮下瘤 |



















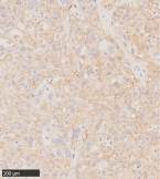
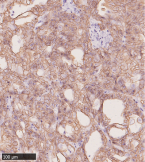
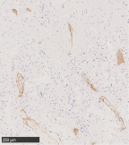
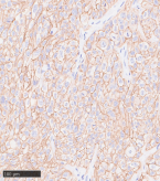
观察期间没有观察到小鼠体重减少。数据以均值±标准误表示。
在用曲妥珠单抗治疗的HER2阳性NCI-N87异种移植模型中,表现出较好的抑瘤效果。

人类遗传论理
外籍
PBMC细胞亚型筛选
NSG/NCG/NOG
B-NDG
NSG- SGM3
NSG-IL15
皮下注射/尾静脉注射重塑
-14天/-10天/-2天/2天
肿瘤免疫浸润分析
细胞因子检测
标志物分析


多种肿瘤细胞系的luc细胞
正在进行活体成像平台项目
生物标志物、肿瘤抗原和相关受体染色及双重染色
细胞因子、趋化因子、转录因子和抗体检测
用于淋巴细胞、自然杀伤细胞、巨噬细胞和中性粒细胞的定制生物标志物
| 类别 | 靶点 | 治疗标准 | 肿瘤细胞株 |
|---|---|---|---|
| Chemotherapy | Chemotherapy | Docetaxel | SNU-16、22RV1、A549、NCI-H1299、KYSE150、KYSE520、AGS、MDA-MB-231 |
| Cisplatin | A2780、A549、NCI-H1299、Cal-27、KYSE30、KYSE150、KYSE520、AGS、HT-29、MDA-MB-231 | ||
| Doxorubicin | OVCAR8、NALM6 | ||
| Oxaliplatin | HGC-27、AGS | ||
| Target therapy | EGFR | Gifitinib | PC-9、HCC827 |
| Osimertinib | NCI-H1975、HCC-827、PC-9 | ||
| C-met | Savolitinib Crizotinib Savolitinib |
Hs746T、NCI-H1993 | |
| ROS1/ALK | Lorlatinib | NCI-H3122 | |
| PARP | Niraparib | SK-OV-3 | |
| ADC | HER2 | Enhertu (DS8201) |
HCC-827、KYSE150、NCI-N87 |